Dental
Mini Screw Assisted Treatment - Main View
1 / 3

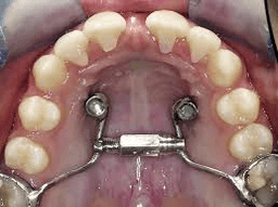
Mini Screw Assisted Treatment

Advanced orthodontic technique using temporary anchorage devices (TADs) to achieve complex tooth movements that were previously difficult or impossible. Mini screws provide stable anchorage without relying on patient compliance.

Key Benefits

Precise Tooth Movement
Faster Treatment Time
Minimal Patient Cooperation Needed
Correction of Complex Cases
Temporary Anchorage
Minimally Invasive Procedure
View All Services
Better Teeth Better Health – Dental Care – Dr. Ashim Roy