Dental
Fixed Functional Appliances - Main View

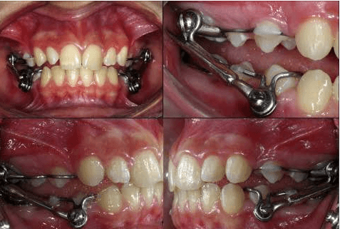
Fixed Functional Appliances

Specialized orthodontic devices used to correct jaw discrepancies in growing patients. These appliances help guide jaw growth and improve the relationship between upper and lower jaws.

Key Benefits

Guides Jaw Growth
Corrects Overbites/Underbites
Non-Removable Design
Consistent Treatment
Improved Facial Balance
Growth Modification
View All Services
Better Teeth Better Health – Dental Care – Dr. Ashim Roy